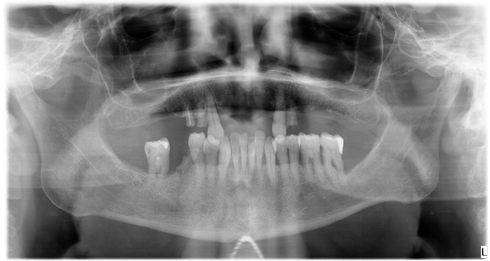
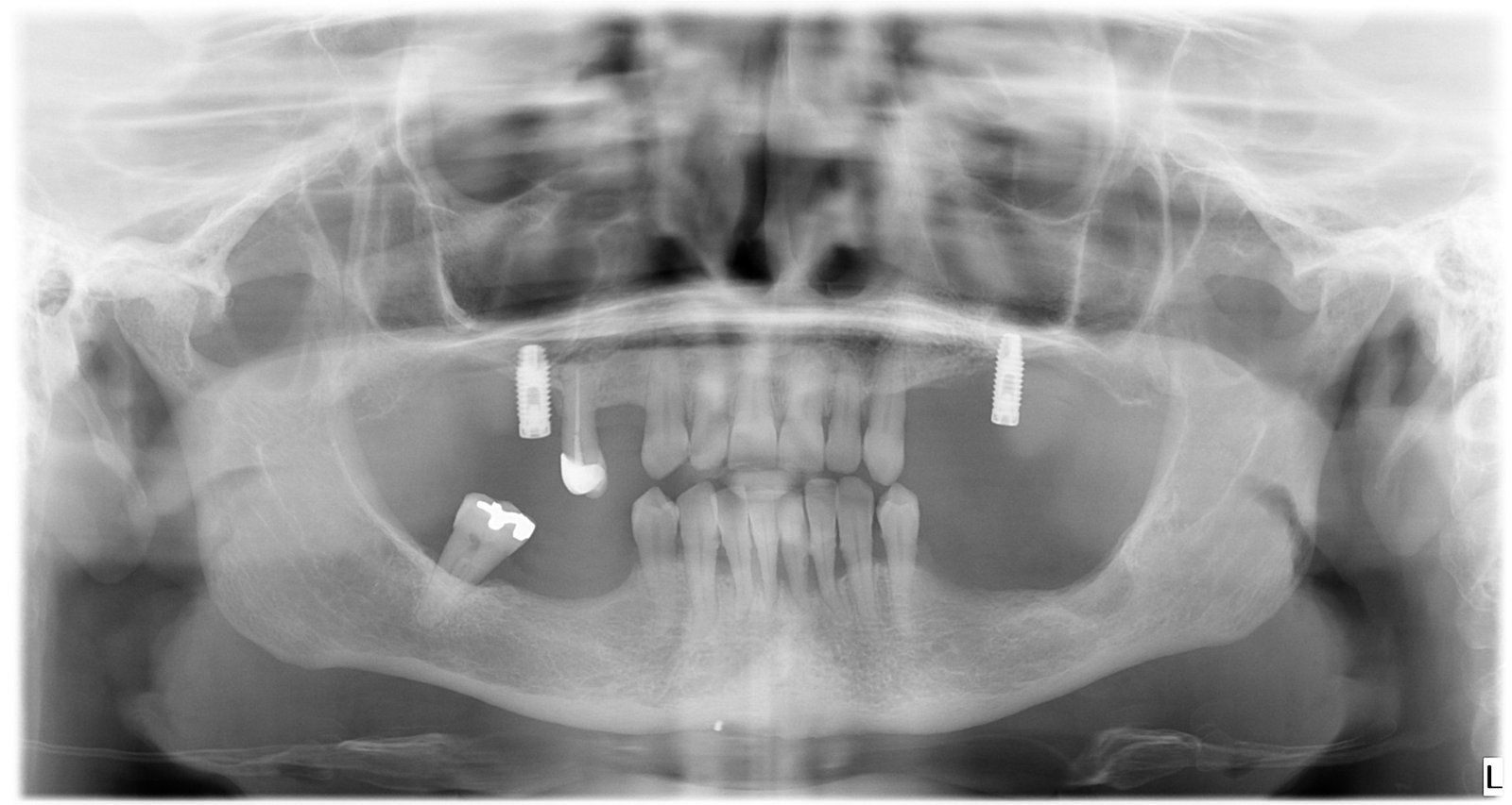
Caso 1 - caso de Implantes dentales


El paciente acudió a consulta con la ausencia de varias piezas dentales que dificultaban la masticación y afectaban a la estética de su sonrisa. Con la colocación de implantes dentales conseguimos recuperar dientes fijos, funcionales y de aspecto natural, devolviéndole seguridad y comodidad al sonreír.


En esta imagen se aprecia la ausencia de piezas dentales y el estado inicial del hueso, lo que permitió planificar un tratamiento implantológico preciso y seguro.
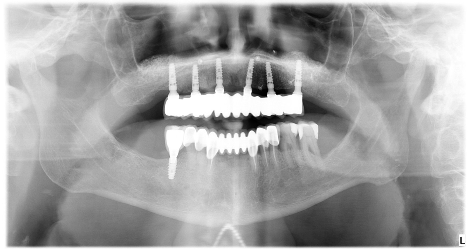
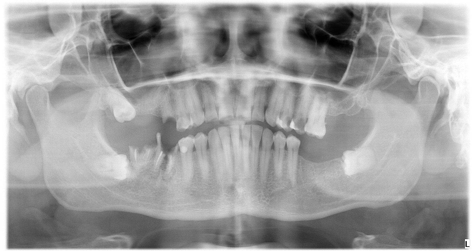
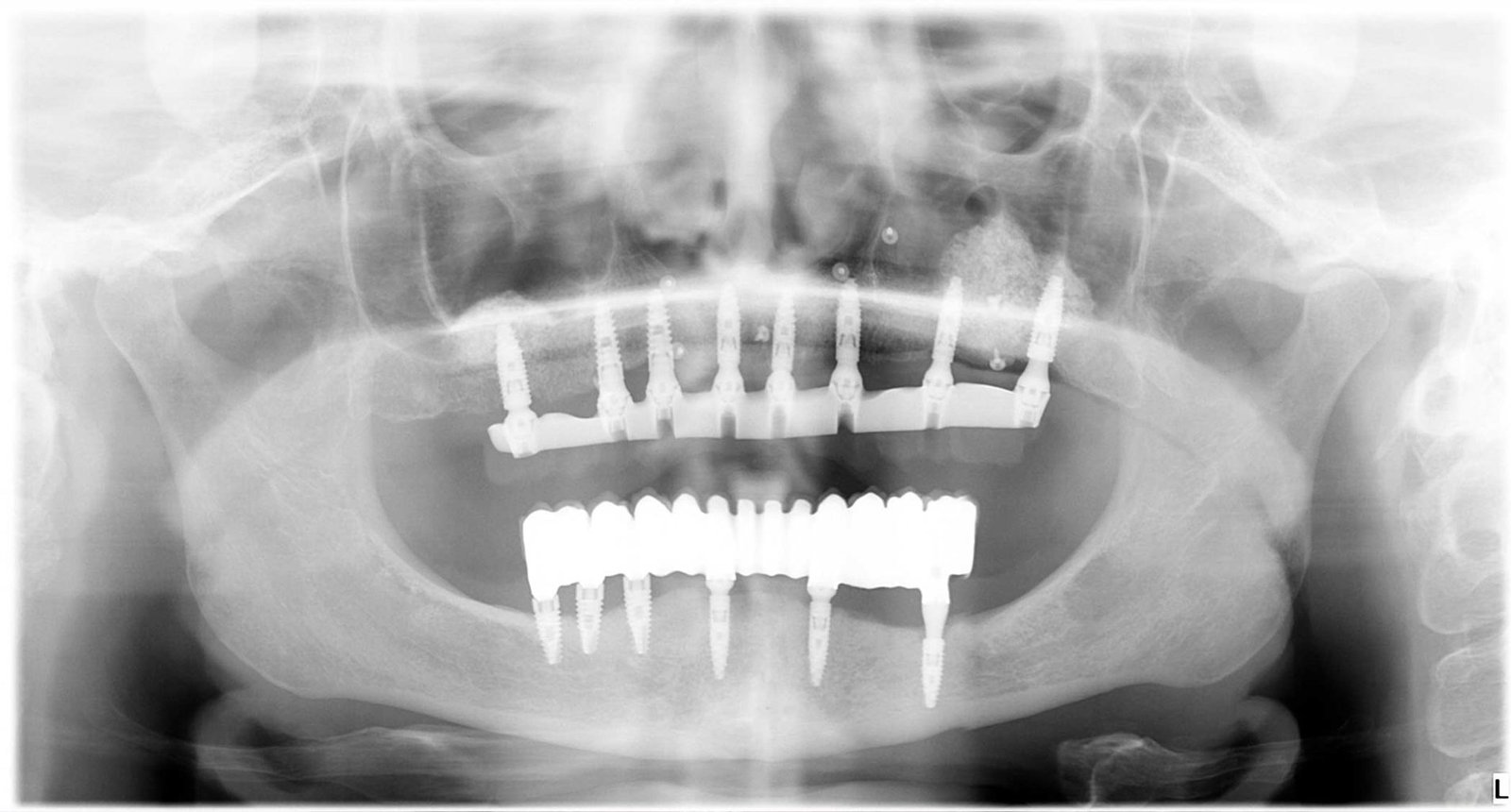
Caso 2 - caso de Implantes dentales


El paciente presentaba pérdidas dentales que comprometían tanto la función como la estabilidad de su mordida. Mediante un tratamiento con implantes personalizados logramos restablecer una dentadura fija, estable y adaptada a su anatomía.


Se observa la colocación de los implantes en la posición óptima, garantizando una base sólida para la posterior rehabilitación protésica.


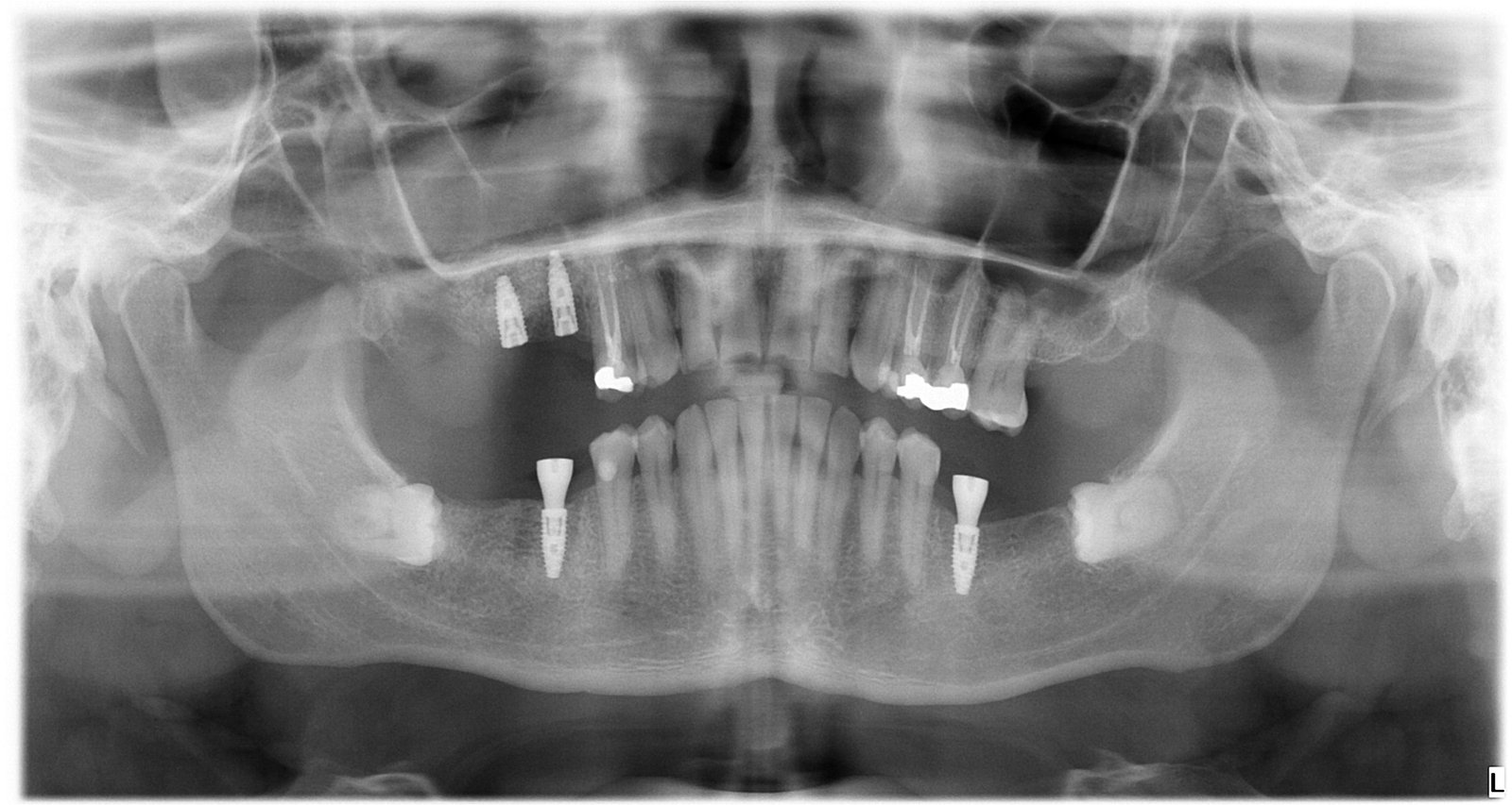
La radiografía final confirma la correcta integración de los implantes, asegurando una solución duradera y completamente funcional.
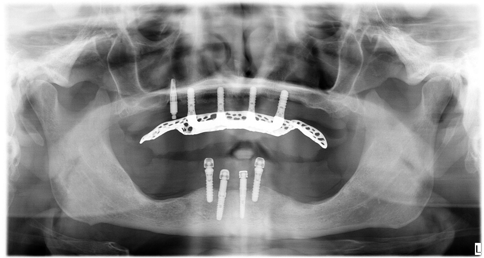
Caso 1 - caso de Carga inmediata


La paciente acudió con la necesidad de recuperar sus dientes de forma rápida y sin largos tiempos de espera. Gracias a la técnica de carga inmediata, colocamos dientes fijos el mismo día, devolviéndole su sonrisa de manera inmediata y segura.


Esta imagen muestra la planificación precisa del tratamiento de carga inmediata, clave para garantizar estabilidad desde el primer momento.
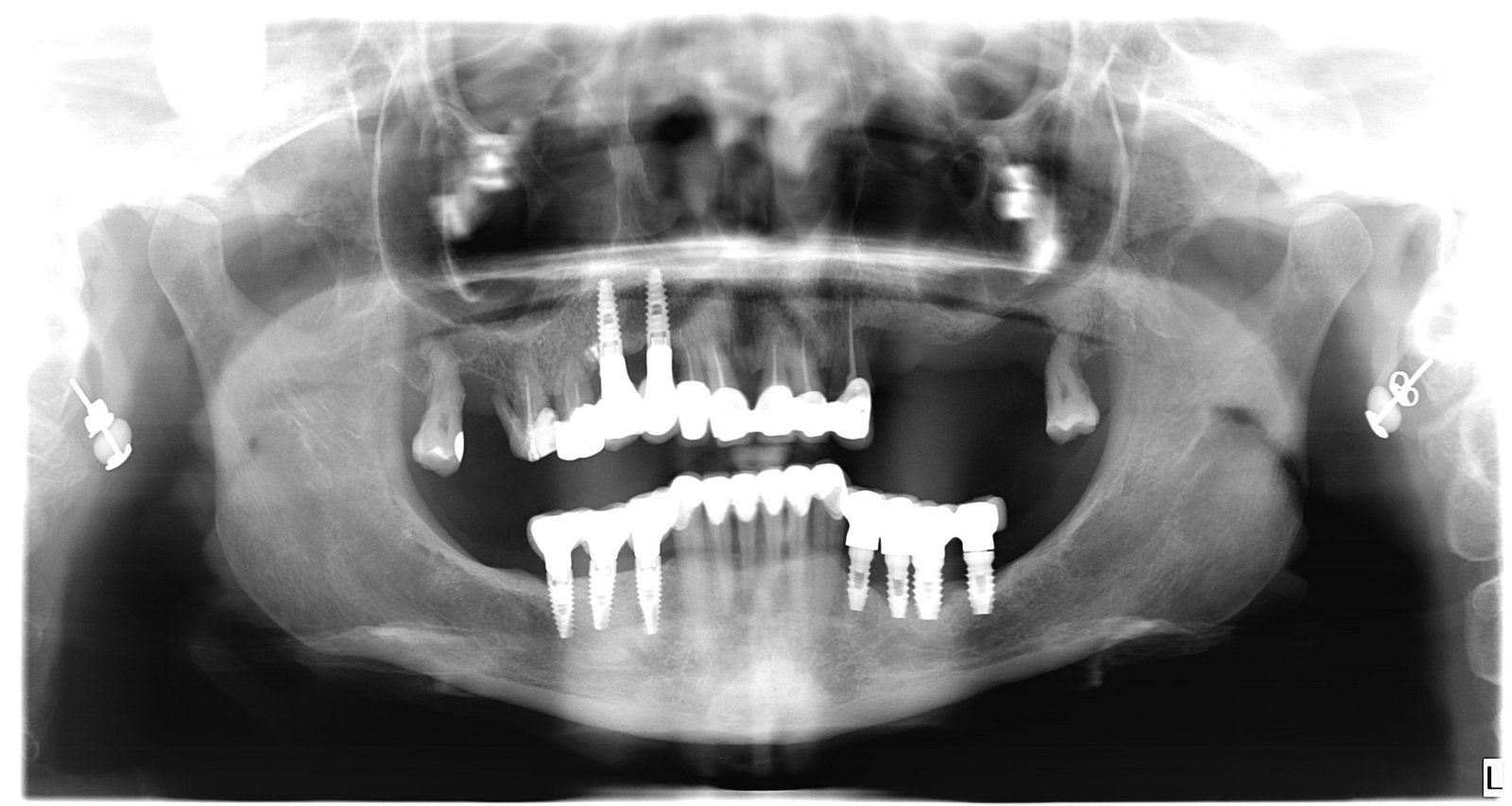
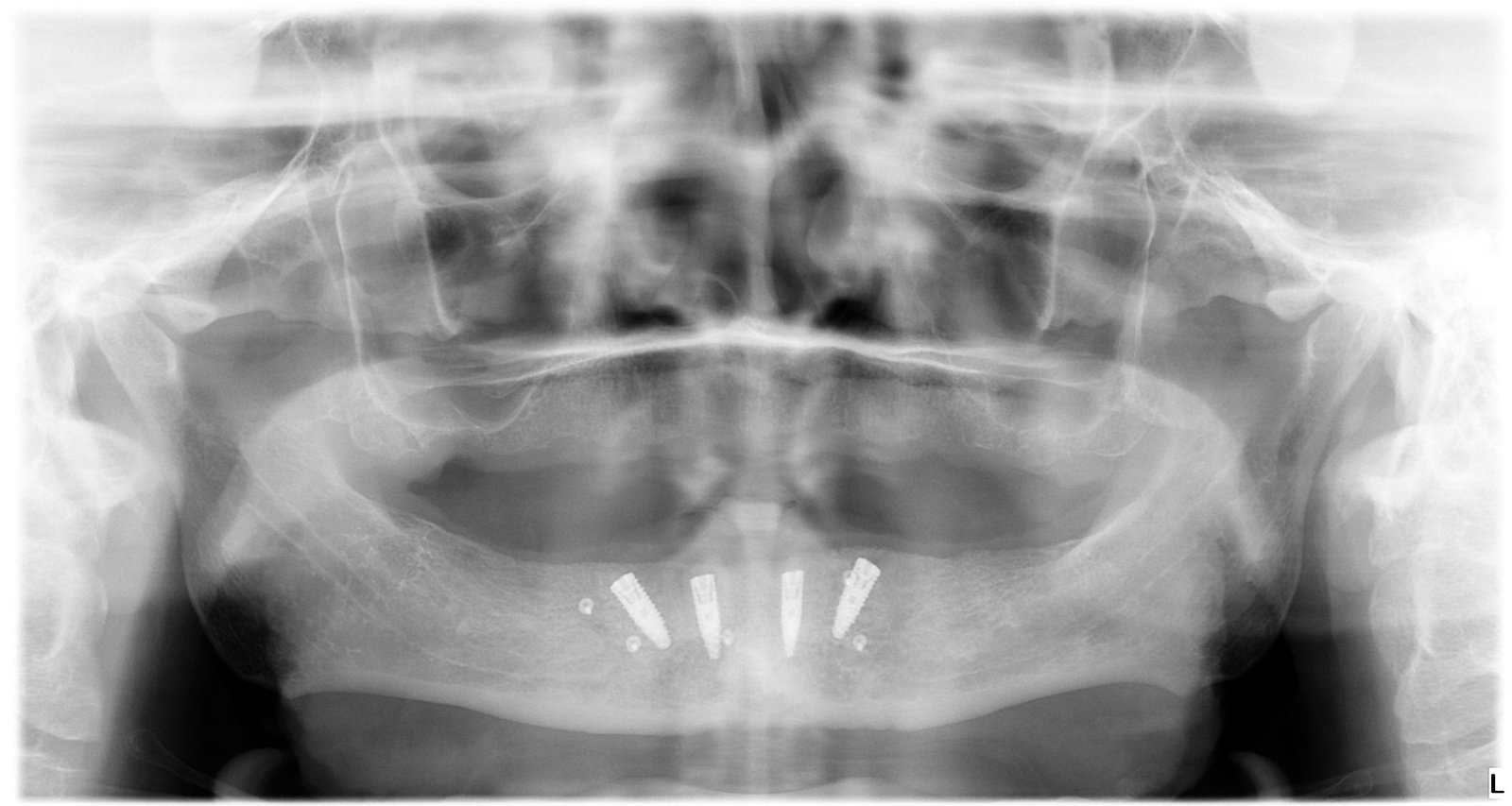
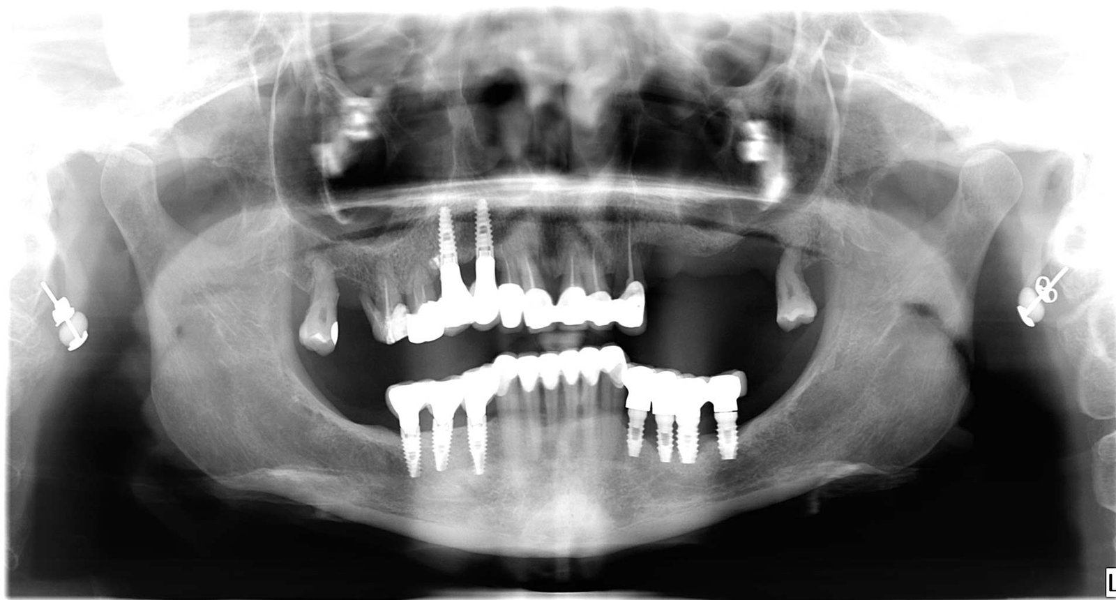
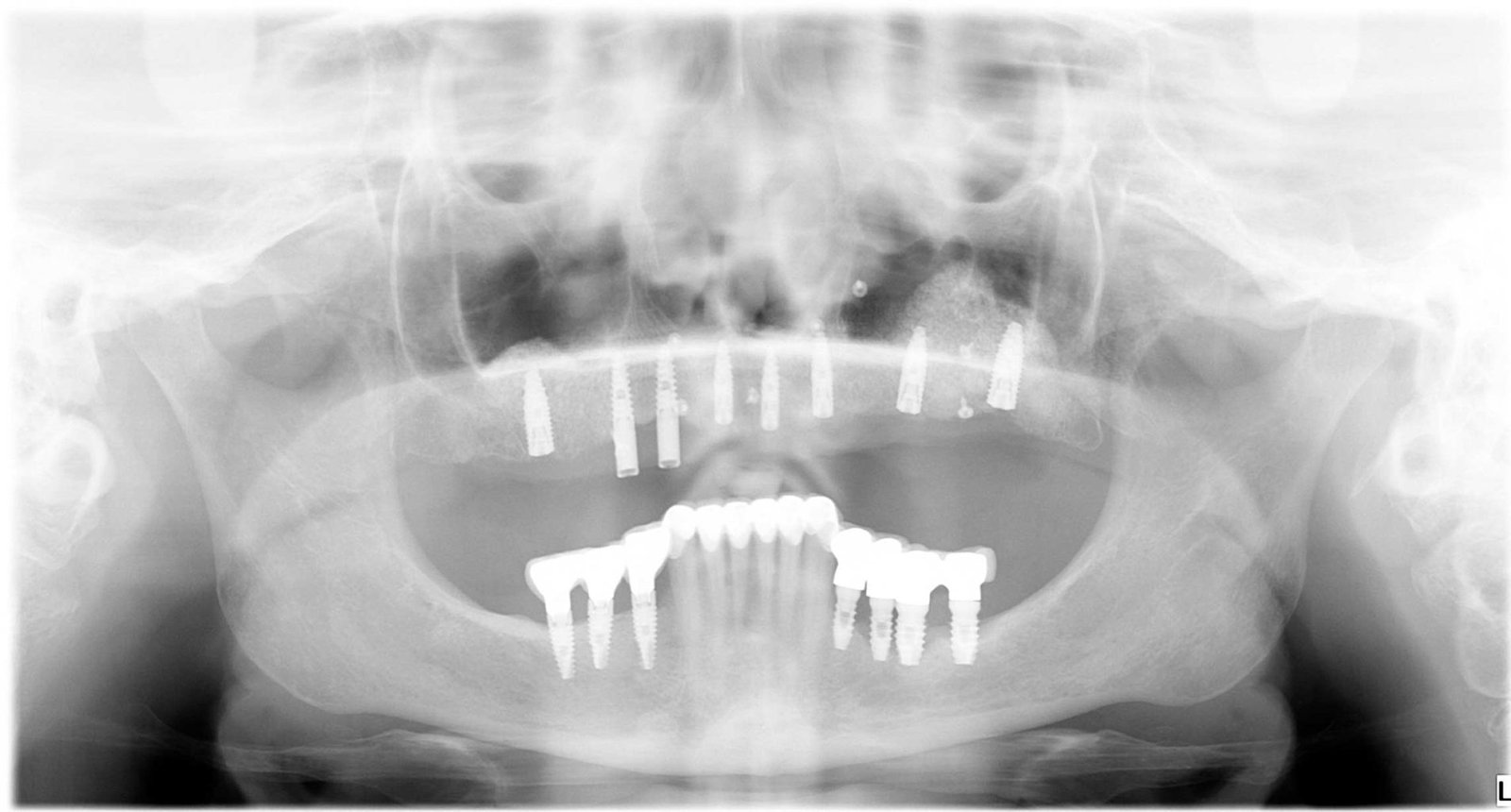
Caso 2 - caso de Carga inmediata


Buscaba una solución rápida y eficaz para volver a masticar y sonreír con normalidad. Mediante carga inmediata conseguimos rehabilitar su boca en una sola intervención, combinando rapidez, estética y funcionalidad.


Se confirma la correcta posición y fijación de los implantes, lo que permite colocar una prótesis fija inmediata con total fiabilidad.
Caso 1 - caso de Estética dental


El paciente acudió preocupado por el color y la forma de sus dientes anteriores, que afectaban a la armonía de su sonrisa. Con un tratamiento de estética dental personalizado mejoramos su apariencia respetando siempre la naturalidad.


Este estudio permitió planificar el tratamiento estético con precisión, asegurando un resultado equilibrado, funcional y duradero.
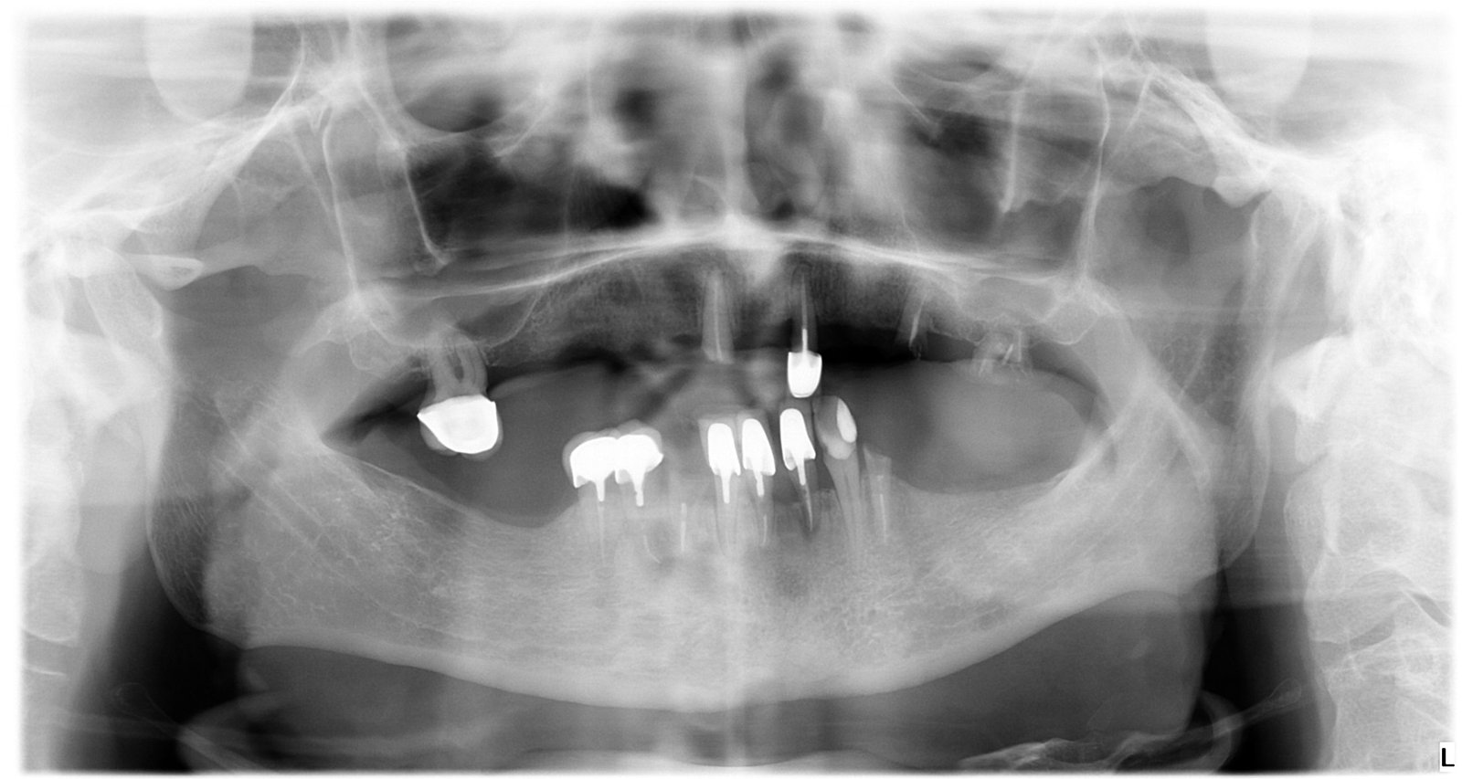
Caso 2 - caso de Estética dental


La paciente acudió preocupada por la estética de su sonrisa y el desgaste de varias piezas dentales. Mediante una rehabilitación estética personalizada mejoramos forma, color y armonía dental, devolviéndole una sonrisa natural, equilibrada y acorde a sus facciones.


El estudio radiológico permitió valorar el estado general de la dentición y planificar la rehabilitación con precisión. Tras el tratamiento, la imagen confirma una estructura dental estable y funcional que garantiza durabilidad y confort.


Esta radiografía muestra la planificación y el resultado de la rehabilitación, evidenciando la correcta integración de las estructuras dentales. Un trabajo orientado a mejorar tanto la función como la estética de forma segura y predecible.